Artefacts and pitfalls under staining and interpretation

Background

“The risk of erroneous conclusion from the biopsy material increases dramatically when the interpretation of immunohistochemical staining is done not only without its morphological and clinical context but also without knowledge about the possible pitfalls!”

Immunohistochemistry is a complex procedure and a number of different factors with potential impact on final diagnostic conclusions may appear during preanalytical, analytical and postanalytical phases of the process.

During preanalytical phase the factors like use of different fixatives, varying concentration of fixating agent/substance, fixation time, fixation temperature and fixation delay as well as a type of the material are well known as important. There is a number of recommendations already published on this topic, but controlling all variables during this phase is usually outside the reach of the pathology laboratory.

Under the analytical phase the applied antibody clone, details of staining protocol, type and quality of the equipment used for staining (different results with different Abs clones/products on different instruments), functioning quality standards at the laboratory seem to be of highest importance. International organizations (like NordiQC) and a number of national pathology societies are conducting several different QA/QC schemes, holding websites and forums focused on analytical phase in order to spread the knowledge about possible pitfalls and how to avoid them. Despite these efforts there are still laboratories and situations when pitfalls occur with varying frequency.

The postanalytical phase with interpretation of staining and conclusion of the results in form of diagnosis may suffer from cumulative effect of errors committed earlier, but it also generates  “own” errors according to the law of Murphy “If anything can go wrong it will”. The pathologists in diagnostic situation despite obvious experience with the morphological spectrum of the disease need to have knowledge about possible pitfalls of previous phases be familiar with the spectrum of the variability of the phenotype of examined tissue as well as spectrum of reactivity, specificity and sensitivity of applied antibodies etc. The optimal correlation of the results of immunohistochemical investigations with morphology and clinical data is absolutely essential for correct conclusions and diagnosis. The immunohistochemical competence useful during the postanalytical phase is not evenly distributed among pathologists.

The following points may help to avoid the most of the classical pitfalls:

1. Appropriate tissue block

2. Adequate antibody panel

3. Adequate antibody clone

4. Internal and external controls (connect with CD5 from last CLL, TdT with aberrant and CDX2 deteriorated)

5. Aberrant reactivity (connect with AE1/AE3 in glioblastoma, WT1, CEA, CD79a, CD45)

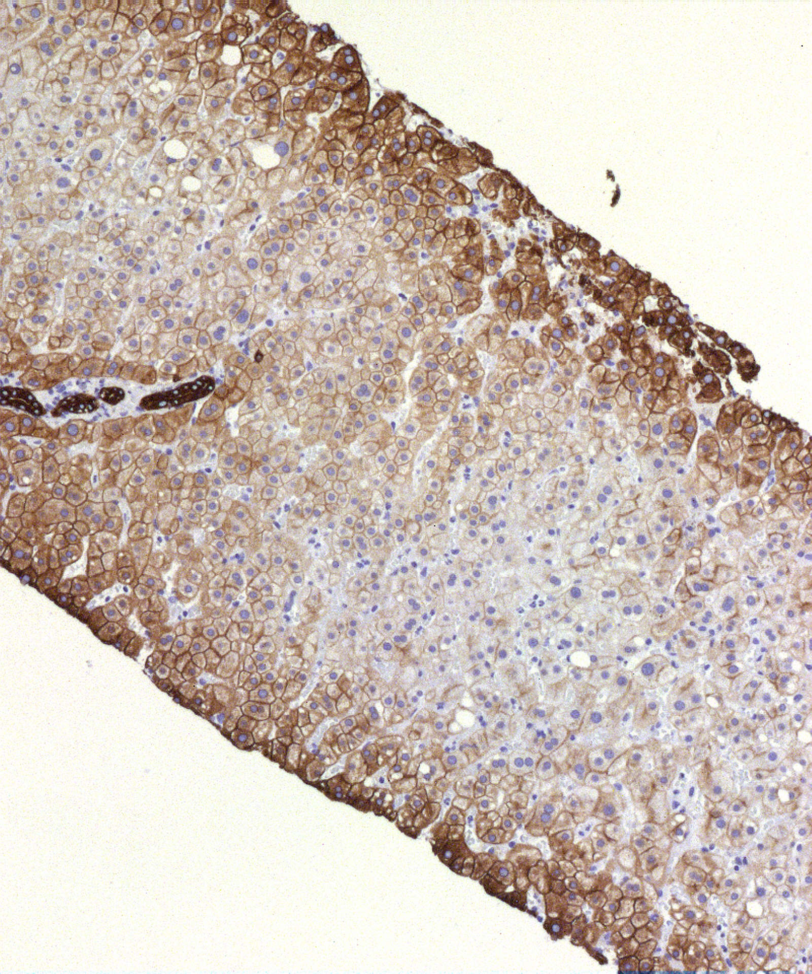
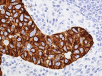
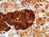
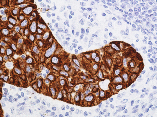
6. Stained structures or cells

7. Pattern of staining

8. Intensity of staining

9. Percentage/number of stained cells (connect with colon cancer with different CK20 patterns and metastatic lobular carcinoma with heterogenous ESR staining in the lymph node)