by Jan Klos
Background
Caldesmon is a calmodulin binding protein encoded by the CALD1 gene on chromosome 7q33. It inhibits the ATPase activity of myosin in smooth muscle cells and inhibits Ca++ contraction of muscle cells. The protein exists in two forms: low and high molecular weight. Low molecular weight (l-Caldesmon) is found in many cell types. The h-Caldesmon (high molecular weight) has two isoforms (89 to 93 kD) found in parenchymal and vascular smooth muscles and some myoepithelial cells.
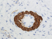
Staining in normal cells
Smooth muscle cells (vascular and parenchymal) and myoepithelial cells.
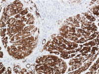
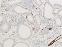
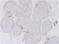
Staining in tumors
Benign smooth muscle tumors and smooth muscle component in tumors angiomyomas, glomus tumor, variable staining in leiomyosarcomas, often negative in myoepithelial tumors.
Staining pattern
Staining pattern is diffuse cytoplasmic.
Control tissue
Appendix.
Application
Among available antibodies the E89 clone is reported to give nonspecific staining (Beck EM1 et al. 2018) and false positive results.
- Recommended as additional marker for identification smooth muscle tumors or smooth muscle differentiation in different tumors.
- Quite specific for smooth muscles with high frequency of positive staining in leiomyomas but more variable staining in leiomyosarcomas.
- Stains higher percentage of GIST cases than α- Smooth Muscle Actin but in majority of other tumors is less sensitive.
- Useful in differential diagnosis of epithelioid mesothelioma vs. adenocarcinoma since 50-97% of epithelioid mesotheliomas are reported positive, while sarcomatoid mesotheliomas are negative.
- Gives variable staining of myoepithelial cells (not recommended as a first choice).
- Negative staining in myofibroblasts and their proliferations helps in differentiating them from smooth muscle tumors.
- Negative staining of stromal cells in endometrium is helpful in differential diagnosis from uterine smooth muscle tumors (often used with CD10).
Selected references
- Beck EM, Bauman TM, Rosman IS. A tale of two clones: Caldesmon staining in the differentiation of cutaneous spindle cell neoplasms. J Cutan Pathol. 2018 Aug;45(8):581-587. doi: 10.1111/cup.13259. Epub 2018 May 22.
- Comin CE, Dini S, Novelli L, et al. h-Caldesmon, a useful positive marker in the diagnosis of pleural malignant mesothelioma, epithelioid type. Am J Surg Pathol. 2006 Apr;30(4):463-9.
- Dabbs DJ. Diagnostic Immunohistochemistry.Teranostic and Genommic Applications, 5th edition, 2018.
- Farah-Klibi F1, Ben Hamouda S, Ben Romdhane S, et al.[Immunohistochemical study of endometrial stromal sarcoma and smooth-muscle tumors of the uterus][Article in French]. J Gynecol Obstet Biol Reprod (Paris). 2008 Sep;37(5):457-62. doi: 10.1016/j.jgyn.2008.05.002. Epub 2008 Jun 18.
- Miettinen MM1, Sarlomo-Rikala M, Kovatich AJ, et al. Calponin and h-caldesmon in soft tissue tumors: consistent h-caldesmon immunoreactivity in gastrointestinal stromal tumors indicates traits of smooth muscle differentiation. Mod Pathol. 1999 Aug;12(8):756-62.