Cytokeratin 17

Synonyms: CK17

by Jan Klos

Background

Cytokeratin 17 is a 46 kD cytokeratin of acidic subtype (type I cytokeratin) encoded by KRT17 gene on chromosome 17q21.2. CK17 like other cytokeratins belongs to intermediate filaments participating in building the intracytoplasmic cytoskeleton. It is induced in wounded stratified epithelia together with other cytokeratins. Mutations in the encoding gene lead to pachyonychia congenita and steatocystoma multiplex.

Staining in normal cells:

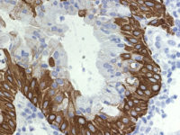
In normal conditions it is found in basal cells in many human complex epithelia, myoepithelial cells, epidermal appendages (including nail beds, hair follicles and sebaceous glands), endocervical reserve cells, myoepithelial cells and immature squamous metaplastic cells. Normal squamous epithelial cells and transitional urothelial cells are negative, but squamous metaplastic cells and dysplastic squamous cells used to show positivity.

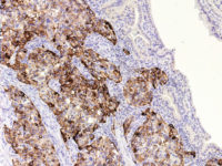
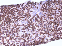
Staining in tumors:

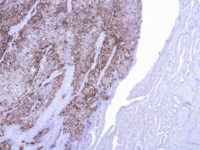
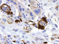
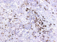
Positive staining is reported in wide range of tumors mostly carcinomas. Carcinomas with squamous and basaloid differentiation in different organs, skin adnexal tumors, adenocarcinoma of endocervix, myoepithelial tumors, epithelioid sarcoma show positive staining in more than 75% of cases.  Urothelial carcinomas, pancreato-biliary carcinomas and metaplastic carcinomas of the breast are stained in 50- 75% of cases. Gastric, esophageal adenocarcinoma, endocervical dysplastic cells and secretory meningioma stain positive in 25- 50%. Lung adenocarcinoma and papillary carcinoma thyroid are positive in 10- 25% . Only rare cases (<10%) of colon adenocarcinoma, non-metaplastic breast adenocarcinoma and renal cell carcinoma are reported positive.

Staining pattern is cytoplasmic.

Control tissue: tonsil or skin.

Application:

  • When used in appropriate diagnostic context in panel with other antibodies it may help to establish the origin of primary tumor to pancreato-biliary tract (CK7+/- CK20+/- CA125+/- and CK17+/-), particularly when origin in gastrointestinal tract is considered in differential diagnosis (CK7-/+ CK20+/- CA125- and CK17-).
  • In some cases the positive staining may reflect squamous differentiation in tumor cells.

Selected references: