ALK

Synonyms: CD246, Anaplastic Lymphoma Kinase

by Jan Klos

Background

Anaplastic lymphoma kinase (ALK) is mapped to chromosome 2p23. It is a membrane spanning pleiotrophin receptor with tyrosine kinase activity, included in the insulin receptor superfamily. ALK mutation causes hereditary hemorrhagic telangiectasia type 2. Detection of ALK overexpression in tumors is important from the therapeutic point of view, since the number of ALK inhibitors is available for oncologic treatment. Used anti-ALK antibody must have high sensitivity and specificity for testing of different tumors for ALK overexpression. A number of different highly sensitive clones is available: 5A4, D5F3, OTI1A4/1A4 and  SP144. Clone ALK-1 seems to be less sensitive than other and works sufficiently well in cases of ALCL but is often false negative in other tumors with ALK translocations

Staining in normal tissues

In normal postnatal conditions ALK is localized only in the cytoplasm of a few cells in CNS and as granular cytoplasmic staining reaction of ganglion cells and axons.

Staining in tumors

Positive staining is reported in the following tumors:

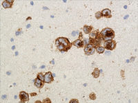
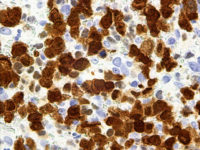
  • ALK positive Anaplastic Large Cell Lymphoma (ALK+ ALCL) and its morphological variants
  • ALK positive Large B-Cell Lymphoma (ALK+ LBCL)
  • > 90% Merkel cell carcinoma
  • 50-70% of inflammatory myofibroblastic tumor
  • ~ 50% neuroblastoma
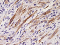
  • Some soft tissue tumors: rhabdomyosarcoma, Ewing’s/PNET, MFH, leiomyosarcoma, lipomatous tumors (liposarcomas, some  lipomas) and few other sarcomas,
  • 3 – 5% of lung adenocarcinomas are positive (harbor t(2;5) resulting in EML4–ALK fusion protein and show cytoplasmic staining pattern)
  • Usually low percentage of primary carcinomas in many organs
  • Few cases of skin melanoma (mostly acral) and spitzoid tumors
  • Few cases of squamous cell carcinoma of esophagus

Staining pattern

Staining pattern is variable depending on translocation partner gene.

Control tissue

Appendix showing weak to moderate granular cytoplasmic staining in the cytoplasm of ganglion cells and axons.

Application

Used in diagnostic panel and in screening for potential candidates for therapy with ALK inhibitors:

  • Anaplastic Large Cell Lymphoma
  • ALK+ Large B-Cell Lymphoma 
  • Inflammatory myofibroblastic tumor
  • May be useful to support diagnosis of other tumors (i.e. positive staining in appropriate morphological and clinical context may support the diagnosis of CK20 negative Merkel cell carcinoma) (link to Photo!)
  • Screening for ALK+ tumors as potential candidates for treatment with ALK inhibitors. Some treatment protocols require molecular confirmation (FISH) of the positive result of immunohistochemistry.

Selected references

  1. Cao S, Nambudiri VE. Anaplastic Lymphoma Kinase in Cutaneous Malignancies. Cancers (Basel). 2017 Sep 12;9(9). pii: E123. doi: 10.3390/cancers9090123
  2. Li XQ, Hisaoka M, Shi DR, et al. Expression of anaplastic lymphoma kinase in soft tissue tumors: an immunohistochemical and molecular study of 249 cases. Hum Pathol. 2004 Jun;35(6):711-21.
  3. Shaw AT, Solomon B, Kenudson MM. Crizotinib and testing for ALK.  J Natl Compr Canc Netw. 2011 Dec;9(12):1335-41.
  4. Webb TR, Slavish J, George RE, et al. Anaplastic lymphoma kinase: role in cancer pathogenesis and small-molecule inhibitor development for therapy. Expert Rev Anticancer Ther. 2009 Mar;9(3):331-56. doi: 10.1586/14737140.9.3.331.
  5. WHO Classification of Tumours of Haematopoietic and Lymphoid Tissues, Fourth Edition 2017
  6. Yi ES, Chung JH, Kulig K, et al. Detection of anaplastic lymphoma kinase (ALK) gene rearrangement in non-small cell lung cancer and related issues in ALK inhibitor therapy: a literature review. Mol Diagn Ther. 2012 Jun 1;16(3):143-50. doi: 10.2165/11632830-000000000-00000.